物質工学科(化学・バイオコース)では、4年の実験実習の一環で、毎年広島県の広島大学施設で臨海実習を実施しています。
昨今の状況により、昨年度は中止されました。
今年度はそれでも実習ができないか検討した結果、県内での実習を計画・実施しました。
.
例年では広島県竹原市で2泊3日の実習を行いますが、今年度は3回に分けて授業時間を利用して実施します。
.
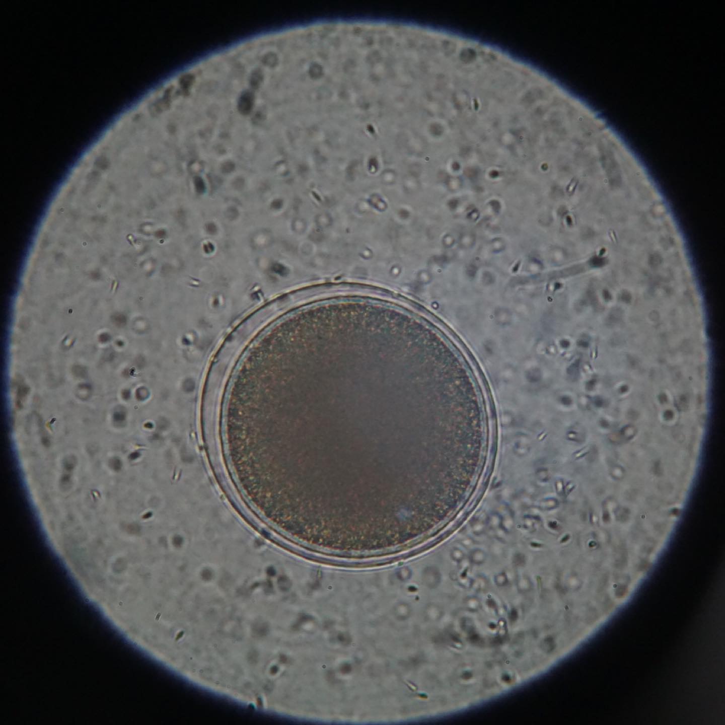
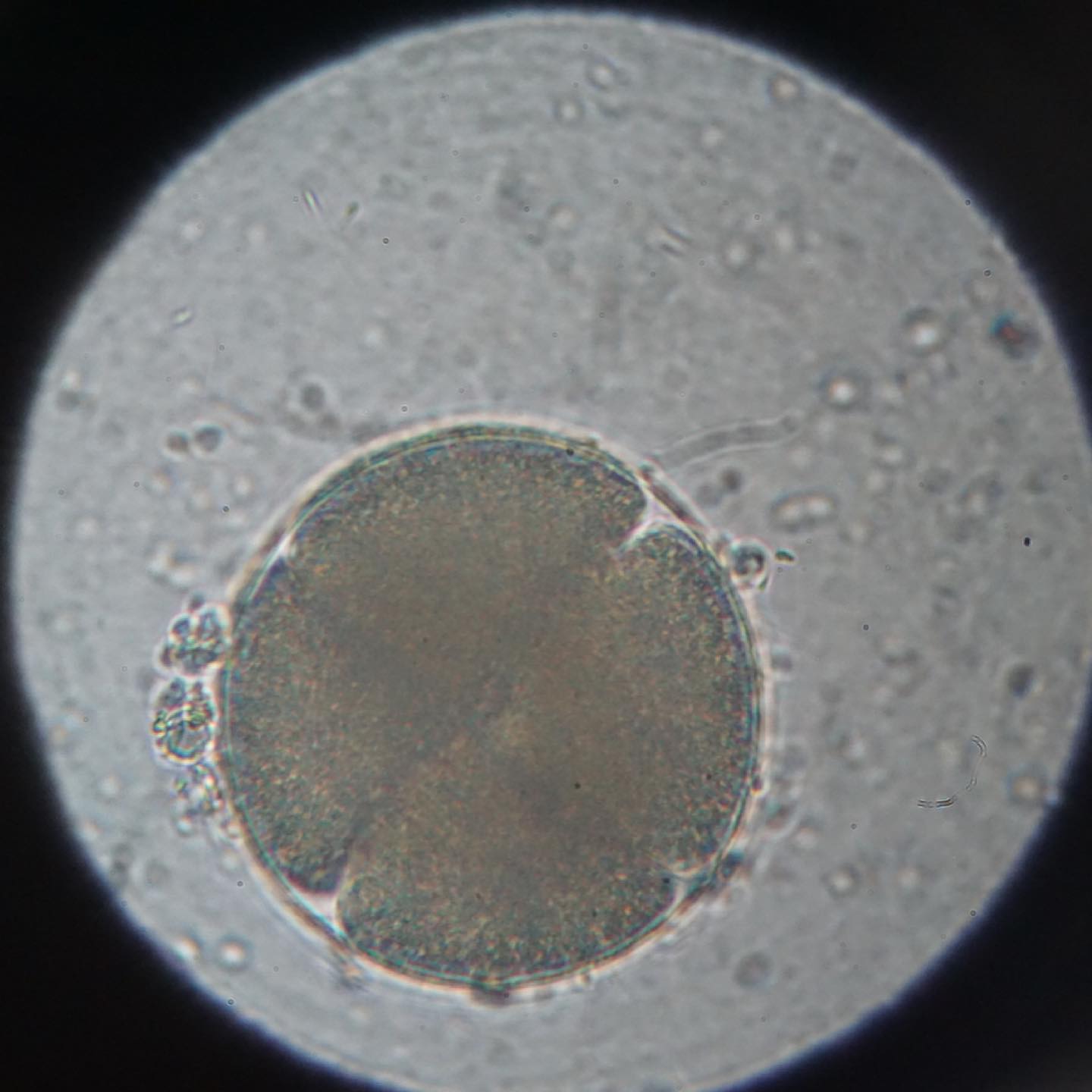
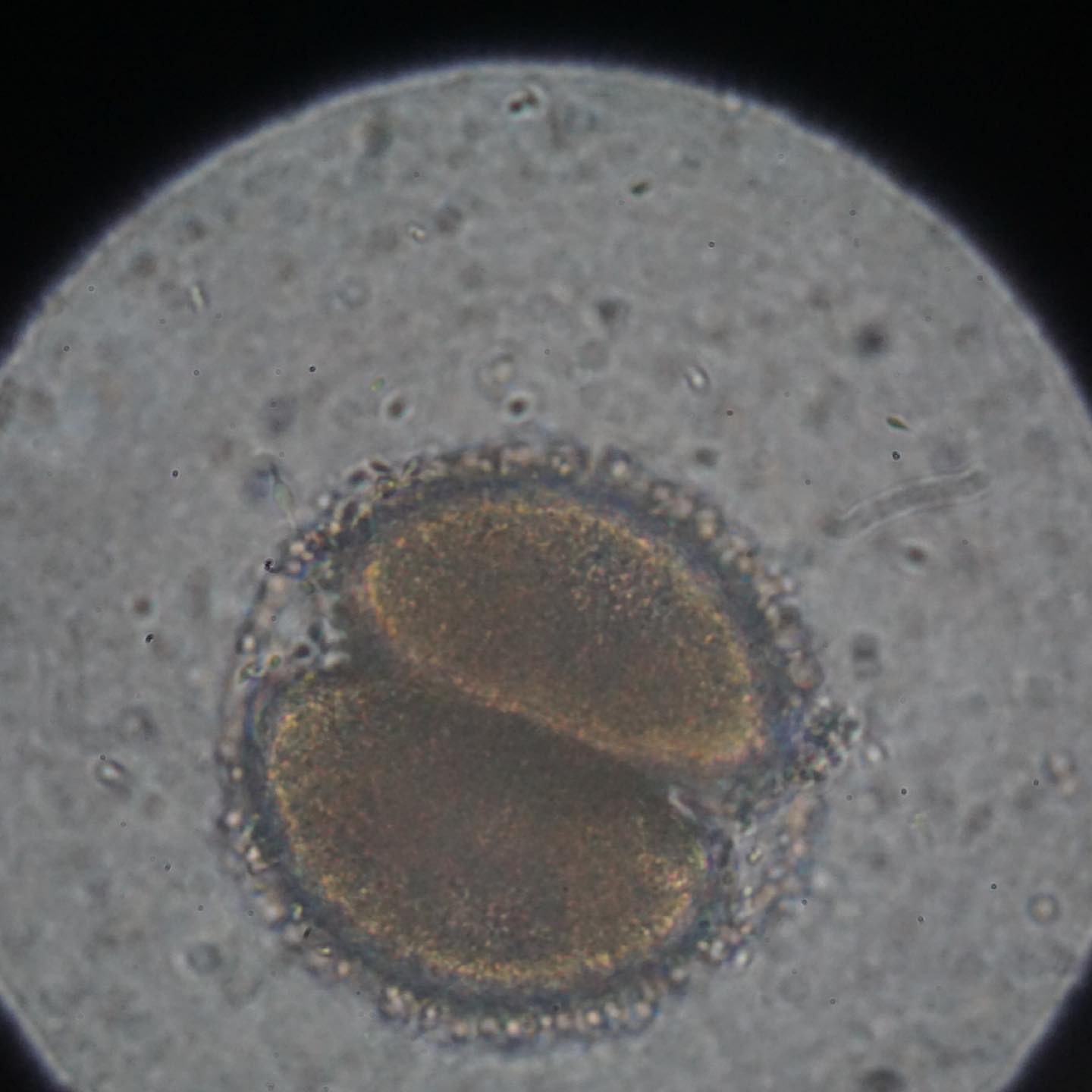
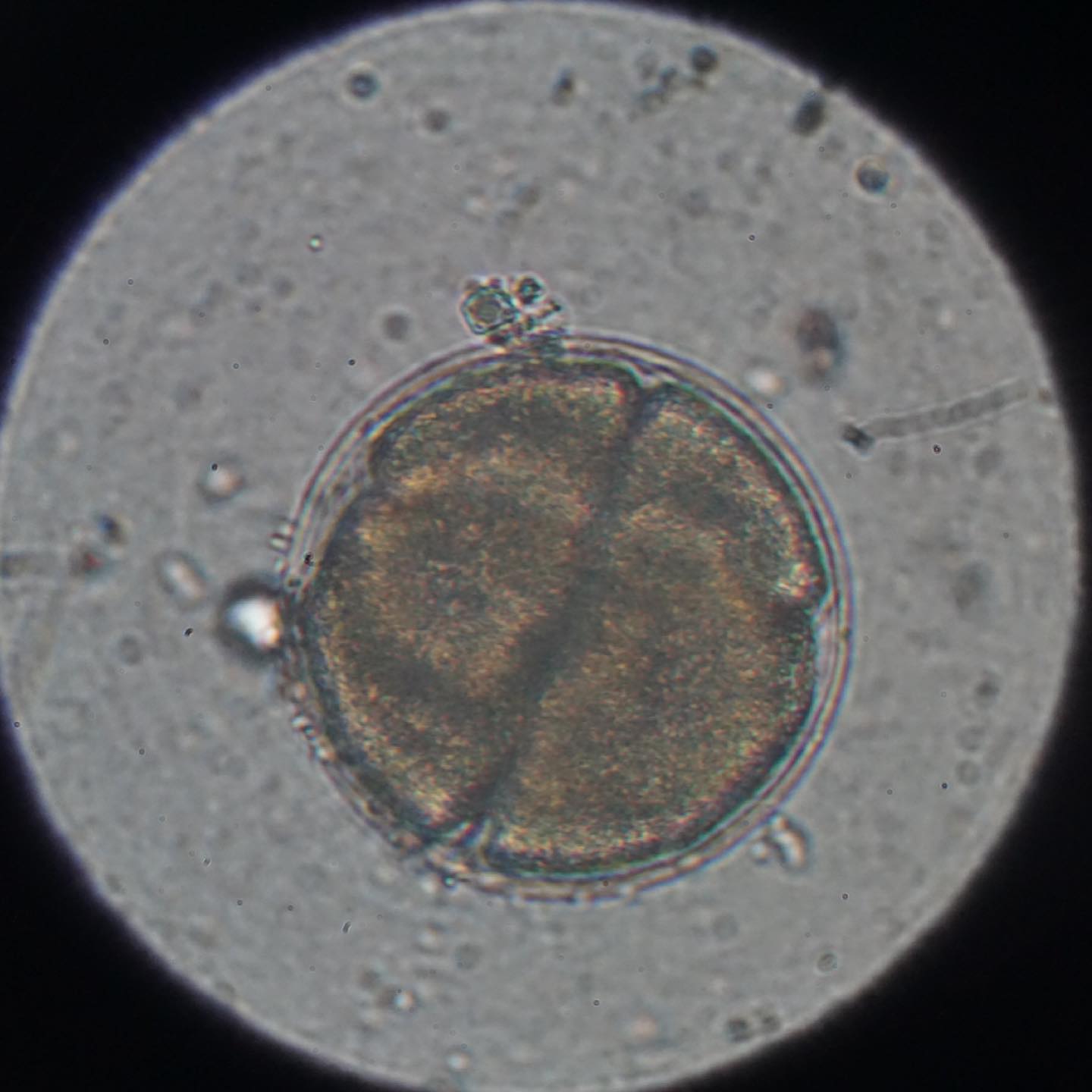
第1回の今日は、学内でウニの発生実験を行いました。
人工授精させたのち、卵の分割を観察しました。2泊3日の実習では原腸胚くらいまで観察できますが、時間の都合上、今日は8細胞期までの観察になりました。
.
第2回は来週です。













